Gå till huvudinnehåll

Vad tycker du om webbplatsen HUS.fi? 

Svara på en kort enkät och berätta för oss hur du tycker att webbplatsen fungerar. 

Det tar bara ett par minuter att svara på enkäten. 

Tack för din tid! 

Till enkäten kommer du här. 

Pressmeddelande Publicerad 19.12.2025 08.49

Behandlingsresultaten för hjärnaneurysm vid HUS i världsklass

Nyckelord:

En ny studie från HUS visar att behandlingen av icke rupturerade hjärnaneurysm i Helsingfors är exceptionellt säker och effektiv i internationell jämförelse. Resultaten publicerades i den prestigefyllda tidskriften Journal of Neurosurgery.

Rahul Raj i vit skjorta mot en blå bakgrund.

”Studien visar att fynden från magnetundersökningen och återgången till arbetet kompletterar de traditionella mätarna och berättar om vårdens kvalitet”, säger huvudskribenten, docent Rahul Raj.

Forskarna granskade kvaliteten på behandlingen av icke rupturerade hjärnaneurysm. Studien behandlade 169 patienter som vårdades på HUS. Patienterna genomgick antingen mikrokirurgisk (29 procent av patienterna) eller endovaskulär (71 procent) behandling av mellan december 2022 och augusti 2024.

Exceptionellt goda återhämtningsresultat

Studiens behandlingsresultat var utmärkta. Tre månader efter behandlingen hade 98 procent av patienterna återhämtat sig utmärkt när utfallet bedömdes med den allmänt använda modifierade rankingskalan mRS som mäter graden av funktionsbortfall (mRS-klassificering för utmärkt funktionsförmåga 0–1).

Sjukhusvården var effektiv, vilket påvisas av den endast tre dagar långa genomsnittliga sjukhusvistelsen. Det är också anmärkningsvärt att 97 procent av de patienter som arbetade före de genomgick behandlingen återvände till arbetet inom tre månader.

Permanenta neurologiska symtom förekom mycket sällan: endast hos två procent av patienterna i gruppen som genomgått öppen kirurgi och hos fem procent av dem som fått endovaskulär behandling.

Erfaren och centraliserad enhet på HUS bakom kvaliteten på vården

”Om vi jämför våra öppna kirurgiresultat med andra stora och prestigefyllda neurovaskulära centrum runtom i världen verkar våra resultat vara exceptionellt bra”, konstaterar professorn i neurokirurgi och överläkaren Mika Niemelä som deltog i studien.

Till exempel i den omfattande studien PRAEMIUM som omfattade flera toppcentrum i världen rapporterades att 14 procent av patienterna som undergick öppen kirurgisk behandling fick nya svåra neurologiska komplikationer. Motsvarande siffror i vår studie var en bråkdel av detta, vilket inte bara framhäver betydelsen av en centraliserad och erfaren enhet utan även våra höga krav vid behandlingen för icke rupturerade hjärnaneurysm.

Dolda fynd påkallar nolltolerans för att helt undvika ischemi

Även om patienternas kliniska utfall var utmärkt avslöjade känsliga MR diffusionsviktade sekvenser (DWI) nya, små ischemiska förändringar, det vill säga förändringar på grund av syrebrist, hos 63 procent av patienterna. Största delen av dessa patienter var symtomfria, men de hade en förhöjd risk att få övergående neurologiska symtom. Resultatet visar att de traditionella indikatorerna för återhämtning och funktionsförmåga inte identifierar alla effekter av behandlingen på hjärnan.

”Vid behandlingen av hjärnaneurysm ska man sträva efter att fullständigt undvika ischemi. Vi kan inte nöja oss med utfallsmätare som inte identifierar de dolda skadorna som behandlingen orsakar”, säger docenten i neurokirurgi Miikka Korja.

Studiens huvudskribent, docent Rahul Raj fortsätter:

”Därför föreslår vi att fynden i magnetundersökningen och återgången till arbetet ska bli en del av den rutinmässiga kvalitetsuppföljningen. Inom HUS återvände 97 procent av våra patienter till arbetet inom tre månader, medan motsvarande siffra till exempel i en norsk studie var endast 60 procent. Enbart en god funktionsförmåga räcker alltså inte längre som mätare för kvaliteten på vården.

Studiens nyckelresultat

  • Funktionsförmåga: 98 procent av patienterna uppnådde utmärkt funktionsförmåga (mRS-klassificeringen 0–1) vid tre månader.
  • Effektivitet: Medianvaraktigheten på sjukhusvården var endast tre dagar.
  • Återgång till arbetet: 97 procent av de förvärvsarbetande återvände till arbetet inom tre månader.
  • Säkerhet: Risken för bestående neurologiska symtom var mycket liten (mikrokirurgi två procent, endovaskulär behandling fem procent).
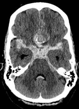
Vuotava aneurysma TT-kuvassa
Subaraknoidalblödning orsakad av ett rupturerat hjärnaneurysm.
Aivoaneurysma 3D-kuvassa.
Hjärnaneurysm i en 3D-bild.

 

Originalpublikation: Raj R, Numminen J, Huhtakangas J, Nurminen V, Lehecka M, Laakso A, Kivipelto L, Niemelä M, Korja M. The Helsinki Unruptured Intracranial Aneurysm Quality of Care study: a prospective observational study. J Neurosurg. 2025 Dec 5:1-10. doi: 10.3171/2025.7.JNS25775

På universitetssjukhuset är forskning en del av vården: vi bedömer och utvecklar kontinuerligt vården utifrån vetenskaplig evidens och patienterfarenheter. HUS har nära forskningssamarbete med medicinska fakulteten vid Helsingfors universitet. Vi publicerar årligen cirka 2 400 referensbedömda studier som vi lyfter fram i våra nyheter.

HUS medietjänst betjänar media måndag–torsdag kl. 10–16, fredag kl. 10–15 på numret 050 427 2875 eller per e-post viestinta@hus.fi.

Respons

Hittade du vad du sökte?

Tack för responsen!

Tack för responsen!

Skriv in din respons om webbplatsen här.

Du skriver väl inte in dina personliga uppgifter här. Observera att vi inte svarar på respons som lämnats via denna blankett. Respons som inte gäller webbplatsen kan ges på vår webbplats.

Skriv in din respons om webbplatsen här.

Du skriver väl inte in dina personliga uppgifter här. Observera att vi inte svarar på respons som lämnats via denna blankett. Respons som inte gäller webbplatsen kan ges på vår webbplats.